
点击拨打
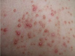
毛囊炎是一种多发性皮肤病,多由真菌感染所引起,发病时一般慢性发作,发病时常见于四肢以及面部,生活中可诱发毛囊炎的病因很多,一定要多加注意,那么,究竟毛囊炎是由什么引起的呢?接下来我们就来详细了解。

》》》更多毛囊炎问题,可在线咨询我院医师《《《
诱发毛囊炎的病因
诱发毛囊炎的病因主要是金黄色葡萄球菌,偶有表皮葡萄球菌、链球菌、假单孢菌属和类大肠杆菌。毛发的牵拉、摩擦、搔抓引起的损伤,皮肤的浸渍,局部蜜封包扎及应用皮质激素等是诱发毛囊炎的病因。医师介绍说,生活中很多因素会导致毛囊炎的产生,常见的毛囊炎的病因主要是:
1、皮肤的浸渍(如总出汗、总受各种液体的刺激、没及时清洁阻塞毛孔发炎)、局部蜜封包扎。
2、其他原因导致的皮脂分泌、毛囊角化不良、细菌感染,睡眠、饮食、环境、胃肠功能、汗腺分泌、体质、维生素缺乏等因素都会影响。
3、某些原发病,如:激素性皮炎、脂溢性皮炎、湿疹、痤疮、瘙痒性皮肤病、糖尿病、慢性病灶等也往往都伴有不同程度的毛囊炎。尤其是曾经使用过激素类外用品。
4、毛发的牵拉、摩擦、搔抓引起的损伤。皮质激素破坏皮肤生态环境。
当发现自己患上毛囊炎之后,患者要尽早去医院接受治疗,从疾病的根源入手,采取对症方法,治疗毛囊炎,令您早日重获健康肌肤。在治疗毛囊炎的过程中,要加强对毛囊炎的发病原因认识,有助于生活中加强防范,积护理,避免再次感染致病原。
以上就是针对毛囊炎是由什么引起的的相关介绍,希望对你了解毛囊炎的病因有所帮助,毛囊炎是一种慢性顽固性皮肤疾病,对于此病的治疗较好选择的皮肤病医院进行,如果你也有毛囊炎疾病的困扰,不妨点击在线咨询,与汕头皮肤病医院医师进行一对一的交流、咨询!
温馨提示:本网站已加密,您的隐私安全,就诊前通过手机预约可免排队等候,免专家挂号费。
门诊时间:8:00—20:00
汕头肤康皮肤病专科
地址:汕头市龙湖区长江路15号信宝大厦